欢迎光临天津红日健达康医药科技有限公司!

联系电话:022-29488922

精选转载 | 河南胸科:打出呼吸介入“组合拳” 成功救治危重患者

打出呼吸介入“组合拳” 成功救治危重患者

河南省胸科医院订阅号 2025年09月04日 11:40



近日,河南省胸科医院呼吸与危重症医学科六病区团队在副主任韩俊垒的带领下,成功运用高难度、多维度的呼吸介入综合技术,为一位危重气道肿瘤合并咯血的患者实施了紧急救治,使其转危为安,充分展示了我院在复杂呼吸介入领域的精湛技术与强大实力。

赵先生今年62岁,曾于7月初因“胸闷、气喘”治疗,效果不佳。8月7日,赵先生突然症状急剧加重,出现严重胸闷、气喘并伴有咯血,生命垂危,家人紧急将其转入河南省胸科医院呼吸病医院呼吸与危重症医学科六病区。入院时,赵先生血氧饱和度仅80%左右,病情危急。病区副主任韩俊垒接诊后迅速组织评估,对比患者既往CT发现,其气管右侧壁存在不规则结节样突起并较前增大,右上叶支气管已完全闭塞,远端肺组织出现阻塞性肺炎实变——主气道堵塞及咯血已成为当前最致命的问题

图片

赵先生随时可能因咯血窒息或呼吸衰竭面临生命危险,与赵先生家属沟通后,8月8日紧急开展第一次气管镜手术,术中见肿瘤侵犯气管右侧壁,突入管腔并压迫右主支气管,右主近闭塞,且肿瘤表面渗血明显,右主支气管管腔持续溢出较多新鲜血液。

面对这一危急情况,韩俊垒组织团队进行了紧急讨论,制定了“分期干预、控制出血、再通气道”的个体化综合介入治疗方案。为避免直接消瘤可能引发的致命性大出血,团队创造性先行“经气管镜氩气止血+经气管镜下PTS(甲苯磺酰胺注射液)+化疗药物顺铂镜下注射化学消融技术”“支气管动脉栓塞+支气管动脉化疗栓塞术”,经过镜下消瘤、止血并精准封堵肿瘤供血血管达到控制出血风险目的。

其中甲苯磺酰胺注射液(PTS)技术由钟南山院士引领的一项全新技术,目前国内开展的医院并不多。PTS是目前唯一获批的肿瘤内部注射消融药物,有高效、低毒、广谱的特点。其经气管镜腔内注射可促进肿瘤细胞凝固性坏死,降低肿瘤负荷并改善通气。并且联合支气管动脉栓塞+支气管动脉化疗栓塞术,进一步掐断了肿瘤的滋养血管,降低了出血风险。为后续气道再通治疗创造了宝贵机会和安全窗口。

图片

△注射药物前后对比

经治疗后患者咯血明显好转,血氧也有改善,可维持在95%左右。时机已然成熟,韩俊垒按计划为其实施二期气道再通手术。8月11日复查,气管镜可见瘤体在局部高浓度化疗药物的作用下已明显缩小,闭塞的右主管腔可窥见缝隙,触碰后出血不明显。

图片

△置入支架后

团队凭借娴熟技术,首先运用激光消融技术对大气道残余肿瘤进行精准切除,而后硬质支气管镜顺利到达右侧中间干管腔,精准置入一枚Y形硅酮支架,不仅有效撑开了被压迫的右主支气管,恢复了肺部通气,其支架本身对管壁的压迫也起到了极佳的止血效果。术后,患者咯血症状立即停止,呼吸困难得到极大缓解。

图片
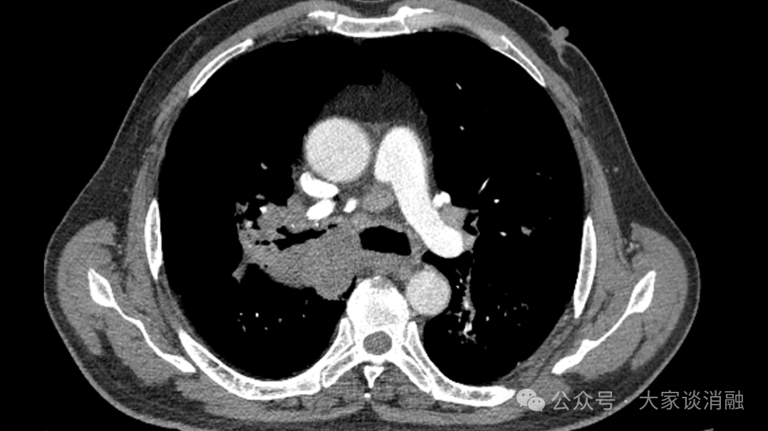
图片

△治疗前后CT影像对比

至8月15日复查显示,患者气道通畅,肺部复张良好,血氧饱和度恢复正常,可自由平稳呼吸,标志着本次高难度急救治疗取得圆满成功。

赵先生的成功救治,是河南省胸科医院呼吸介入技术水平的一次集中体现。在整个治疗过程中,团队灵活整合应用了硬质支气管镜、激光消瘤、氩气刀、支气管动脉栓塞、支气管动脉内局部化疗灌注、硅酮支架置入、PTS化学消瘤等多项前沿介入技术,形成了“栓塞、化疗、消融、支撑”多位一体的整合式解决方案。这不仅体现了我院在处理复杂气道疾病方面成熟的决策能力、精湛的操作技术和丰富的临床经验,也彰显了医院以患者为中心,勇于挑战危急重症、不断探索技术创新的使命与担当。



本文转载自公众号:河南省胸科医院订阅号



-END- 仅供医药专业人士参考

图片


分享到:
联系我们
—————
     天津市武清开发区创业总部基地馨凯广场5号楼1601室,301700,022-29488922

> 红日药业

链接
——
联系电话:022-29488922   022-59693525上报邮箱:holyjectadr@163.com

药品不良反应上报
——
—————————————————————————————————————————————————————————————————
关注我们
—————
 关注公众号(大家谈消融),了解更多资讯